Limb Deformity

Bowed Legs in Children
Bowed legs in toddlers are quite common and are part of normal development. Since all children are different, some legs appear only mildly curved while others will have a more significant amount of bowing. As children grow, their legs become straighter to knock knee slightly. By the age of two, most children’s legs are nearly straight, and by age three, almost all children have outgrown the bowing of their legs.
It is important to remember that all children are unique and grow at different rates so that some children won’t fit into the pattern described above. Some problems result in children’s legs being bowed; these include growth plate problems such as Blount’s disease, growth arrest, and metabolic issues such as rickets.
Most cases of bowing do not require treatment. Your physician will base his recommendations are a careful evaluation of your child, which may include x-rays. Treatment may consist of observation, bracing, or possibly surgery. Surgery for this problem may consist of growth modulation or osteotomies (cutting the bone) to correct the deformity.
What is Growth Modulation?
In Children’s orthopedics, growth modulation refers to changing the bone growth in order to correct deformities or irregularities in growing children and adolescents. The goal is to guide the growth of bones in a way that corrects the deformity over time, avoiding major surgical procedures.
This outpatient procedure is used when there are deformities in the bone making them grow at an angle causing bowed legs or knocked knee’s (Genu Varum and Genu Valgum).
The idea is to use the natural growth potential of bones to correct the deformity. Growth modulation is considered a more conservative approach compared to traditional surgical interventions such as osteotomies (cutting bones). It can only be used in children that are still growing.
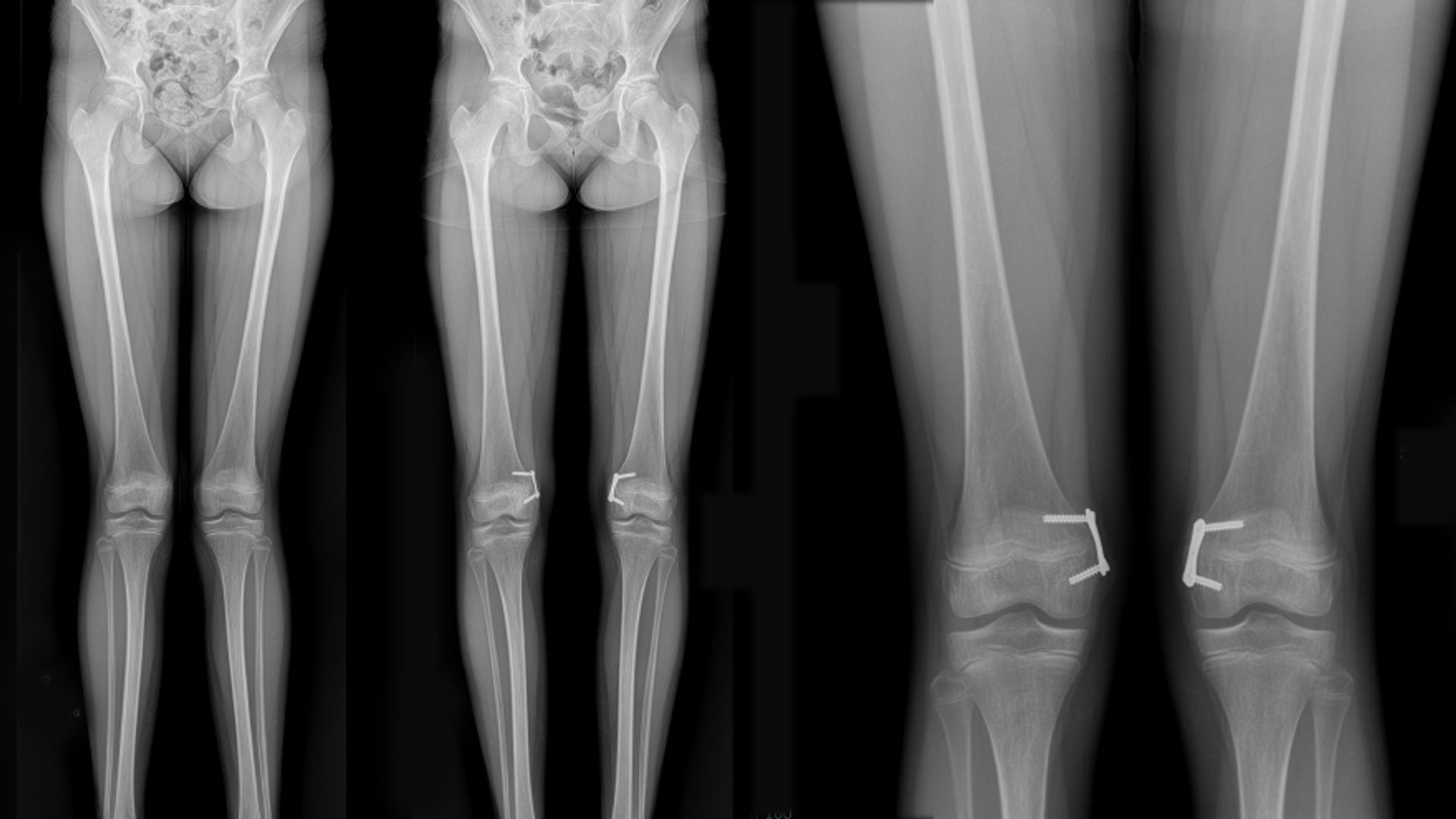
The most common method of growth modulation involves using a temporary plate across the growth plate on one side of the bone. This temporarily stops that side from growing so as the other side grows it corrects the deformity.
The success of this technique relies on careful planning, monitoring, and follow-up to ensure that the growth is being modulated in the desired manner.
It's important to note that the specific techniques used for growth modulation in orthopedics may vary depending on the nature of the deformity and the individual patient's characteristics. Orthopedic surgeons and specialists carefully assess each case to determine the most appropriate approach to achieve the desired correction while allowing for normal skeletal development.

Knock Knees
Genu valgum (knock-knees) is a common lower leg abnormality usually seen in toddlers, preschool, and early school-age children. Images left to right: Patient presenting with genu valgum, post-genu valgum with posts in place, and detail of post positioning.